Plato, the Greek philosopher who lived in the fourth century BC, knew something about good health and how to maintain it. “Lack of activity destroys the good condition of every human being,” he declared, “while movement and methodical physical exercise save it and preserve it.” A mere 24 centuries later, we have arrived at the same conclusion.1
The mechanistic links between a lack of physical activity and health have finally been uncovered and centre on the master metabolic regulatory enzyme, 5’ adenosine monophosphate-activated protein kinase (AMPK). AMPK can be regarded as a metabolic master switch that determines whether available energy is utilised to meet immediate requirements or stored for future use. Aerobic exercise generates hypoxia and increasing levels of cAMP in skeletal muscle, and this activates (phosphorylates) AMPK both in muscle and in the liver. Once activated, AMPK “instructs” the body to start burning energy and stop storing it. This entails a broad and co-ordinated set of responses.
Specifically, activated AMPK interacts with another gene called MTOR to stimulate autophagy in muscle, a complex process that can be regarded as a form of housekeeping or remodelling.2 Old cellular elements such as mitochondria and contractile proteins are broken down, recycled and replaced with new ones. In favourable conditions, which include the availability of appropriate nutrients such as the relevant amino acids, the cofactors for protein synthesis and sufficient levels of anti-inflammatory elements such as polyphenols and omega-3 fatty acids, resistance or endurance exercise will create positive changes.3 Resistance exercise favours increased muscle mass, whereas endurance exercise favours improved capillary networks and more efficient contractile mechanisms.4
Both patterns of autophagy, however, induce mitochondrial neogenesis and a simultaneous increase in the numbers of GLUT4 receptors on the muscle cell membranes.5 These changes increase the muscle’s ability to undergo oxidative phosphorylation (that is, the muscle gets fitter). Related important benefits include restored or improved insulin sensitivity, whereas the increased expression and activity of muscle LPL leads to improved plasma lipid profiles.
If that were all, it would explain only a fraction of the benefits of exercise; but there is more: activated AMPK increases fat burning via beta oxidation and inhibits cholesterol synthesis by down-regulating HMG CoA reductase and fat formation by down-regulating acetyl CoA carboxylase.4,6 The net effects of this AMPK-induced cascade include improved muscular performance, visceral and other fat loss, and the reversal of metabolic senescence.7,8 These benefits of physical exercise are well known. At last we have an understanding of how they are mediated — and why Plato was right.
New ways to activate AMPK
Recent research by NASA and others showed the existence of a second pathway that achieved AMPK activation — namely resistance exercise. Work by the Lee Laboratories at the University of Michigan and other groups has demonstrated that this involves the up-regulation of genes that code for a family of at least three stress-inducible proteins called sestrins.9,10 The sestrins are classified as “alarmins”, a growing family of stress-inducible (that is, hormetic/protective) proteins that include the HSPs (heat shock proteins) and AMPs (antimicrobial proteins).
The HSPs are preferentially induced by thermal, osmotic and oxidative stresses, and the AMPs are preferentially induced by the presence of potential pathogens. However, the sestrins appear to be preferentially induced by physical stresses as detected by transponder systems in skeletal muscle and bone.
The xenohormetics, formerly categorised as adaptogens, are known to act inter alia by inducing stress proteins such as the HSPs. Recently, a number of traditional xenohormetic herbs have been screened for sestrin/AMPK activity. During ethnobotanical screening in South Korea, experts identified the herb Gymnestemma pentaphyllum as a candidate for research.11 Traditionally made into a tonic for the frail and elderly, its documented benefits reproduce the expected effects of exercise or AMPK activation. The fact that its traditional name Jiaogulan translates as “little herb of immortality” further sparked the researchers’ interest. They soon established that extracts of this herb did indeed activate AMPK, presumably via sestrin up-regulation. As a result of this pioneering work, an extract of Gymnestemma pentaphyllum standardised to its actives, saponins known as damulins, is now available as ActivAMP.12
Proof of concept: preclinical
Preclinical work established that ActivAMP exerted the same effects in ob/ob mice as the herb did in humans, and also promoted weight management.13 The two saponins, Damulin A and B, were potent AMPK activators, considerably more so than AICAR, a molecule that also activates AMPK and is thought to have won several Tours de France before it was banned in 2011 (see Figure 1).14,15

Figure 1: Effects of ActivAMP administered to ob/ob mice for 8 weeks
Proof of concept: clinical
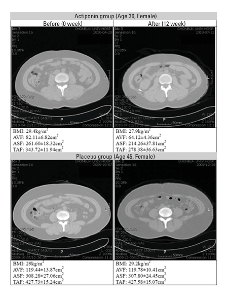
A programme of clinical work was subsequently initiated and the first of these, a study of the effects of ActivAMP, has been published in the prestigious journal Obesity.8 In this double-blind trial, 80 subjects with a BMI between 25 and 30 were randomised to active or placebo groups and treated for 12 weeks. The active group received capsules containing 450mg of ActivAMP per day. No recommendations were made regarding diet or exercise. At trial end, total abdominal fat area, body weight, body fat mass, per cent body fat and BMI were significantly decreased (p=0.044, p<0.05, p<0.0001, p<0.0001 and p<0.05, respectively) in the active group compared with the placebo group. Interestingly, the reductions in visceral adiposity were particularly marked, as they are following exercise (see Figure 2). No clinically significant changes in any safety parameter were observed.

Figure 2: Study of the effects of ActivAMP
Summary
ActivAMP is a tool to help activate the profound energy switching enzyme AMPK and replicate the metabolic and health benefits of exercise. It also clearly has a role in sports and athletics, in which its ability to improve muscle fitness is creating interest in professional circles.
References
1. J.Y. Chau, et al., “Daily Sitting Time and All-Cause Mortality: A Meta-Analysis,” PLoS One 8(11), e80000 (2013).
2. B. Egan and J.R. Zierath, “Exercise Metabolism and the Molecular Regulation of Skeletal Muscle Adaptation,” Cell Metab. 17(2), 162–184 (2013).
3. J.A. Menendez, et al., “Xenohormetic and Anti-Aging Activity of Secoiridoid Polyphenols Present in Extra Virgin Olive Oil: A New Family of Gerosuppressant Agents,” Cell Cycle 12(4), 555–578 (2013).
4. K. Baar, “Training for Endurance and Strength: Lessons from Cell Signalling,” Med. Sci. Sports Exerc. 38(11), 1939–1944 (2006).
5. R. Burcelin, et al., “GLUT4, AMP Kinase, But Not the Insulin Receptor, are Required for Hepatoportal Glucose Sensor-Stimulated Muscle Glucose Utilization,” J. Clin. Invest. 111, 1555–1562 (2003).
6. S.P. Davies, et al., “Diurnal Rhythm of Phosphorylation of Rat Liver Acetyl-CoA Carboxylase by the AMP-Activated Protein Kinase, Demonstrated Using Freeze-Clamping. Effects of High Fat Diets,” Eur. J. Biochem. 203, 615–623 (1992).
7. V. Calabrese, et al., “Hormesis, Cellular Stress Response and Vitagenes as Critical Determinants in Aging and Longevity,” Mol. Aspects Med. 32, 279–304 (2011).
8. S.H Park, et al., “Antiobesity Effect of Gynostemma pentaphyllum Extract (Actiponin): A Randomized, Double-Blind, Placebo-Controlled Trial,” Obesity (Silver Spring) 22(1), 63–71 (2014).
9. J.H. Lee, A.V. Budanov and M. Karin, “Sestrins Orchestrate Cellular Metabolism to Attenuate Aging,” Cell Metab. 18(6), 792–801 (2013).
10. J.H. Lee, et al., “Maintenance of Metabolic Homeostasis by Sestrin2 and Sestrin3,” Cell Metab. 16(3), 311–321 (2012).
11. P.H. Nguyen, et al., “New Dammarane-Type Glucosides as Potential Activators of AMP-Activated Protein Kinase (AMPK) from Gynostemma pentaphyllum,” Bioorg. Med. Chem. 19, 6254–6260 (2011).
12. V. Razmovski-Naumovski, et al., “Chemistry and Pharmacology of Gynostemma pentaphyllum,” Phytochem Rev. 4, 197–219 (2005).
13. R. Gauhar, et al., “Heat-Processed Gynostemma pentaphyllum Extract Improves Obesity in ob/ob Mice by Activating AMP-Activated Protein Kinase,” Biotechnol. Lett. 34(9), 1607–16 (2012).
14. P. Benkimoun, ”Police Find Range of Drugs After Trawling Bins Used by Tour de France Cyclists,” BMJ 339, b4201 (2009).
15. Personal communication.
Dr Paul Clayton is a fellow of the Royal Society of Medicine, a former Senior Scientific Adviser to the UK Government's Committee on the Safety of Medicines and former President of the Forum on Food and Health at the Royal Society of Medicine. He is currently Visiting Professor of Pharmaconutrition at the University of Pecs (Hungary) and a Fellow of the institute of Food, Brain and Behaviour (Oxford).